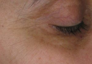
Donkere kringen / vochtwallen

Vraagt vaak mensen aan je of je wel goed geslapen hebt?
Frustreert het je dat voldoende slapen niet werkt tegen de donkere kringen onder je ogen?
Weet je niet wat je moet doen om die wallen onder je ogen weg te krijgen?
Je wilt een uitgeruste uitstraling.
Een frisse blik zonder donkere kringen onder je ogen.
Je wilt je wallen weghalen zonder intense behandelingen met lang resultaat.
Zelfverzekerd en stralend de wereld tegemoet.
Oorzaak wallen en donkere kringen
Dunste stukje huid van je lichaam
Er zitten veel bloedvaten en lymfeklieren onder de ogen. Daarnaast is de huid onder de ogen is het dunst stukje huid van heel het lichaam. Hierdoor zijn de vaatjes onder dit stukje huid beter zichtbaar.
Bloed kleurt donkerder wanneer het lichaam weinig vocht en/of zuurstof krijgt. Dit zorgt ervoor dat de huid onder de ogen donker ziet. Alcohol en slaaptekort zijn bekende boosdoeners als het gaat om donkere kringen, maar het kan ook ontstaan op latere leeftijd. Daarnaast kan het ook (voor een deel) genetisch bepaald zijn.
Door een slechte circulatie kan vocht onder de ogen blijven zitten waardoor er een plaatselijke zwelling achter blijft, oftewel vochtwallen. Op momenten zoals in de ochtend kan het erger zijn dan aan het einde van de dag. Vaak geeft het een vermoeide blik en dat kan als erg vervelend ervaren worden.
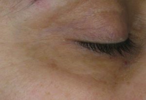
Oplossingen wallen en donkere kringen
De natuurlijke manier om zowel wallen als donkere kringen effectief aan te pakken is door middel van LPG endermologie®.
LPG® heeft een speciale behandelkop waarmee kleine tere gebieden zoals de oogcontouren kunnen stimuleren. Omdat de huid onder de ogen zo dun is, wordt er een subtiele stimulatie uitgevoerd rondom de ogen om zo de bloedcirculatie en vochtafvoer te stimuleren.
Door de circulatie te verbeteren krijgt de huid meer zuurstof en voedingsstoffen. Hierdoor wordt de huid compacter en worden de vaatjes lichter van kleur.
Donkere kringen worden minder zichtbaar (-15%) en vochtwallen nemen af (-19%).
Wil jij meer weten over het verminderen van donkere kringen en wallen onder je ogen?
Plan hier een afspraak voor een kennismaking en ontvang gratis een persoonlijk behandelplan.
Meer informatie Afspraak maken

